0269 220 502

0755 159 149

Sibiu, Calea Turnisorului 47

Ein Tag ohne Lächeln ist ein verlorener Tag!

Professionelle zahnärztliche Dienstleistungen

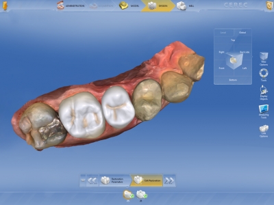
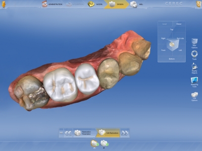
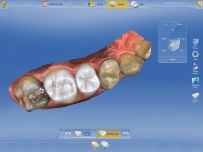
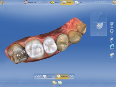
CEREC Vollkeramik in einer Sitzung

((CEramic REConstruktion))
Um die natürliche Ästhetik der Zähne und des Zahnfleisches perfekt zu kopieren, bedarf es einer innovativen Methode. CEREC nutzt die CAD/CAM-Technologie (Computer Aided Design/ Computer Aided Manufacturing). Für die Zahntechnische Herstellung von Kronen, Implantataufbauten, Brücken, Facetten oder In-, Onlays ist ein Abbild der Situation im Mund erforderlich. Über eine Kamera wird der geschleifte Zahn im Patientenmund aufgenommen und digitalisiert. Er wird in 3D auf den Computer dargestellt. Diese digitalen Daten können dann ohne Zeitverlust in der Praxis verarbeitet werden. Mittels modernster Schleif- und Fräsgeräte wird präzise in wenigen Minuten, aus einen zahnfarbigen vollkeramischen Block, ein passender Keramikteil erstellt und in der gleichen Sitzung definitiv eingesetzt.

Zahnimplantate

Ein Zahnimplantat ist eine künstliche Zahnwurzel aus Titan oder Keramik die einen fehlenden Zahn ersetzt. Dies bietet für den Patienten einige Vorteile: Es muss kein gesunder Zahn für eine Brücke geschliffen werden; der Knochenabbau des Kieferkammes, der bei einem Zahnverlust zwangsläufig eintritt, wird vorgebeugt. Der künstliche Zahn wird optisch von den natürlichen nicht zu unterscheiden sein.

In einer Operation, die unter Betäubung durchgeführt wird, bringt man das Implantat in den Kieferknochen ein und versorgt es provisorisch. Nach der Einheilungsphase, die von 1 Woche bis 6 Monate dauert, kann die endgültige Prothetik eingesetzt werden. Besonders interessant ist diese Therapie u.a. für zahnlose Patienten. Diese haben die einmalige Chance, mit einem festsitzenden Zahnersatz versorgt zu werden und damit wird auch die Kaufunktion wiederhergestellt. Diese Therapie ist bei fast allen Patienten möglich und die Erfolgschancen stehen durchschnittlich bei 98%. Damit gehört die Implantologie zu den sichersten Therapieformen in der Zahnmedizin.

Ästhetische Füllungen

Die modernen Techniken und Füllungsmaterialien machen es heute möglich, dass selbst große Defekte und sogar abgebrochene Zähne sehr ästhetisch rekonstruiert werden können. Auch Unregelmäßigkeiten der natürlichen Zähne können optisch verbessert werden, ohne die Zahnsubstanz zu schädingen. Die modernen Kunststofffüllungen sind in allen Zahnfarben erhältlich und somit nach der Behandlung quasi unsichtbar. Die Zähne wirken ganz natürlich.

Veneers / Facetten

Keramik-Veneers sind aufgeklebte Verblendschalen, mit denen der Zahnarzt abgebrochene Zähne, Zahnlücken oder Fehlstellungen korrigieren kann. Es ist ebenfalls möglich, mit diesem Verfahren unterschiedlich große Zähne optisch einheitlicher zu gestalten.

Ein Keramik-Veneer ist nur etwa 0.3 Millimeter dick. Vor dem Anbringen fertigt der Zahnarzt von Ihrem Gebiss Abdrücke und Röntgenbilder an, damit er zusammen mit Ihnen die Form genau abstimmen kann. Um die erforderliche Wandstärke für das Veneer zu schaffen, müssen die Zähne minimal geschliffen werden. Anschließend können die einzelnen Veneers mithilfe eines Spezialklebers und Aushärtung mittels Licht aufgebracht werden. Um lange Haltbarkeit zu gewährleisten, empfehlen wir die regelmäßige Kontrolle beim Zahnarzt sowie gute Pflege.

Kinder - Zahnheilkunde

Die beste Therapie bei der Behandlung ängstlicher Kinder ist immer noch die Prävention. Unter der modernen Prävention versteht man die rechtzeitige Aufklärung der Eltern über die Karies als Infektionskrankheit und die Risiken der Übertragung auf das Kleinkind. Neben der Aufklärung spielt auch die sorgfältige Zahnpflege aber auch die richtige Ernährung eine große Rolle, denn diese können Karies vermeiden.

Professionelle Zahnreinigung

Zahnbeläge und Zahnverfärbungen sind nicht nur ein optischer Mangel, sondern haben durch ihre Rauigkeit eine Anziehungskraft auf die bakterienhaltigen Beläge, die Karies und Parodontose verursachen. In diesem Fall bietet sich die professionelle Zahnreinigung im Rahmen einer Prophylaxebehandlung beim Zahnarzt an. Die wohl bekannteste Art ist das Säubern der Zähne durch ein Pulverstrahlgerät. Hierbei treffen ein Luft-Natriumbikarbonat-Gemisch und ein Wasserstrahl zur schnellen und schmerzlosen Entfernung von Plaque und Zahnbelägen aufeinander. Diese Methode kann besonders bei äußeren Zahnverfärbungen wirksam zum Einsatz kommen. Dunkle Beläge, die durch Genussmittel wie Nikotin, Tee, Kaffee oder Rotwein entstehen, können ohne Probleme entfernt werden

Zahnschmuck

Ein neuer Trend, sein Lächeln mit einem besonderen Akzent hervorzuheben, ist Zahnschmuck. Ob Goldplättchen, Diamanten oder kleine Schmucksteinchen – die Auswahl ist schier unendlich. Angebracht wird das gewünschte Objekt vom Zahnarzt, der den betreffenden Zahn vorher gründlich reinigt und die Auflagefläche ätzt. Nach einer gründlichen Desinfektion wird der Schmuck mittels Spezialkleber angebracht und hält bei guter Pflege ungefähr ein Jahr.

Röntgenaufnahme – 3D Computertomographie

Schon seit 1948 haben Cheyne und Horne berichtet, dass rund 30% der bestehenden Karies ohne Röntgenkontrolle nicht entdeckt werden können. Die Röntgenaufnahme dient als wichtiges Hilfsmittel zur Untersuchung und Dokumentation der parodontalen Verhältnisse und auch für die korrekte endodontische Behandlung. In unserer Praxis verwenden wir einen Widescreen HD Bildschirm um Patienten, vor Ort, mit wichtigen Details und Röntgenaufnahmen über die Behandlung am aktuellen Stand zu halten.

3D Computertomographie

Cephalometrie, 2D Panoramabilder und 3D Röntgenaufnahmen sind entscheidend in einer erfolgreichen Behandlung. Unsere Praxis ist mit einen modernen Bildgebungssystem ausgestattet, so dass Sie Zeit sparen und zusätzliche Reisen vermeiden um sich Aufnahmen zu besorgen.

Zahnersatz / Zahntechniklabor

Hochwertiger Zahnersatz, Vollkeramik, Veneers, Inlays, Onlays, Kronen, Brücken, Prothesen, Goldlegierungen, Kombinierter Zahnersatz, Metallkeramik.

Maschinelle Endodontie

Die Wurzelkanäle werden mit modernen hochflexiblen Ni-Ti Instrumenten behandelt. Die Bearbeitung der Wurzelkanäle erfolgt mit maschinellen Instrumenten, die zu einer gleichmäßigeren und exakteren Säuberung des Zahnes führen. Ein innovativer, elektrischer Apex Locator hilft bei der genauen Längenmessung des Wurzelkanals und zur Bestimmung der Position der Wurzelspitze. Vorteile: Sicherheit, hohe Präzision und Qualität.

Faltenbehandlung

Einfach gut aussehen!
Schöne Zähne brauchen eine schöne Umgebung um ihre volle Wirkung zu entfalten. Die ästhetische Zahnmedizin betrachtet deshalb das gesamte Gesicht. Insbesondere Falten im Stirnbereich, um die Augen und um den Mund können mit wenig Aufwand verschwinden. Durch beachtliche Fortschritte in der medizinische – kosmetischen Forschung stehen uns heute viele Möglichkeiten bei der Faltenbekämpfung zur Verfügung.

Kollagen – Hyaluronsäure
Im Laufe der zeit verliert die Gesichtshaut an Substanz. Grund dafür ist ein Abbau des Kollagens (ein Netzwerk aus dehnbaren Fasern). Außerdem steht dem Köper im Alter immer weniger Hy als Feuchtigkeitsspeicher zur Verfügung. Kollagen und Hy werden vorzugsweise bei weichen und dehnbaren Falten eingesetzt.

Zahnaufhellung / Bleaching

Als Bleaching bezeichnet man den Aufhellungsprozess der Zähne, der oftmals unter Zuhilfenahme von Wasserstoffperoxid erfolgt. Hierbei werden die Verfärbungen aus dem Zahn herausgelöst (wie Sie das auch vom Blondieren beim Friseur kennen). Gebleicht werden kann jeder gesunde Zahn, der keine kariösen Defekte oder Zahnstein aufweist.

Dem Bleichen sollte eine professionelle Zahnreinigung vorausgehen, da die Zähne frei von Belägen sein müssen. Wir unterscheiden zwei Arten des Zähnebleichnes: Beim “Home-Bleaching” fertigt der Zahnarzt vom Gebissabdruck Kunstoff-schienen an. Diese füllt der Patient zu Hause mit Bleichgel und trägt sie an mehreren Tagen für einigr Stunden.

Die andere Variante ist das sogenannte “In-Office-Bleaching” beim Zahnarzt. Hier ist es oft innerhalb von weniger als einer Stunde möglich, die Zähne mithilfe einer Lichtquelle zu bleichen und somit schneller zum gewünschten Ergebnis zu gelangen. In der Regel können gesunde Zähne um mehrere Nuancen aufgehellt werden.

Laserzahnmedizin

Der Dental-Laser unterstützt den Zahnarzt in seiner Arbeit und ist schmerzfrei (ohne Betäubung) und blutungsärmer bei den vielen Anwendungen wie zB: Wurzelbehandlungen, Implantologie, Chirurgie, Parodontologie. Die Arbeitsweise ist schonend und steril. Nach der Verwendung des Lasers ist auch die Wundheilung viel angenehmer und komplikationslos.

Mikroskop – Zahnheilkunde

Leistungsstark und bedienerfreundlich unterstützt das Zeiss Mikroskop den Zahnarzt bei anspruchsvollen Arbeiten, sei es im Bereich der restaurativen Zahnmedizin, der Endodontie, der Implantologie oder der Parodontologie. Es ermöglicht eine bessere Visualisierung sowie eine erstklassige Untersuchung und Behandlung. Aufnahmen in HD-Qualität können für Patientengespräche und zur Dokumentation verwendet werden.