0269 220 502
0755 159 149
Sibiu, Calea Turnisorului 47
RO
DE
EN
Despre noi
Cabinet
Echipa
Parteneri
Cazuri
Tarife
Contact
Implante/Augmentare
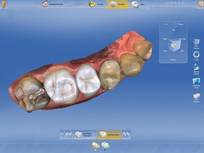
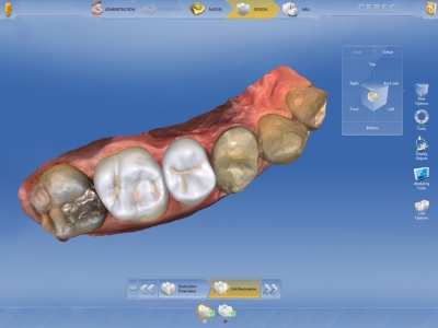
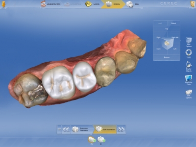
CEREC - Ceramica intr-o sedinta
Stomatologie estetica
Fatete dentare
Endodontie mecanica
Protetica / Laborator dentar
Igienizare profesionala
Radiologie – Computer tomograf 3D CBCT
Tratamente de albire
Bijuterii dentare
Stomatologie pediatrica
Tratament Anti-Aging
Laser stomatologic
Microscop Zeiss
O zi fara zambet e o zi pierduta!
Cabinet