0269 220 502
0755 159 149
Sibiu, Calea Turnisorului 47
RO
DE
EN
About us
Clinic
Team
Partners
Cases
Prices
Contact
Implants/Augmentation
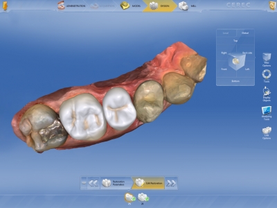
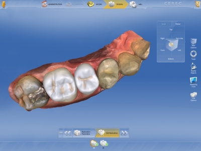
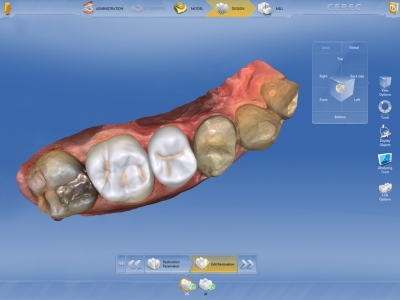
CEREC - Pure ceramics in just one session
Aesthetic dentistry
Veneers
Mechanical endodontics
Prosthetics/ Dental laboratory
Professional cleaning
Radiology – 3D X-ray CBCT
Whitening treatment / Bleaching
Dental jewelry
Pediatric stomatology
Anti-aging treatment
Laser dentistry
Surgical Microscope
A smileless day is worthless!
Clinic